![]() |
|||||||||||||||||||||||||||||||||||||||||||||||||||||||||||||||||||||||||||||||
|
Formation du pollen de l'Arum maculatum La microsporogenèse |
|||||||||||||||||||||||||||||||||||||||||||||||||||||||||||||||||||||||||||||||
![]() |
|||||||||||||||||||||||||||||||||||||||||||||||||||||||||||||||||||||||||||||||
|
Les fleurs mâles portées par le spadice sont réduites aux anthères des étamines. C'est dans les anthères en cours de développement que les cellules mères du pollen* diploïdes subissent la méiose. Elle conduit aux microspores haploïdes. |
|||||||||||||||||||||||||||||||||||||||||||||||||||||||||||||||||||||||||||||||
| 1ère division de méiose Dans l'anthère immature, les cellules mères du pollen (ou mieux cellules mères des microspores) = microsporocytes ou encore méiocytes, forment quatre massifs, un par sac pollinique. Pour étudier la méiose, on peut séparer les cellules intéressantes du reste de l'anthère en écrasant légèrement (squash) la préparation. - Prophase I |
|||||||||||||||||||||||||||||||||||||||||||||||||||||||||||||||||||||||||||||||
![]() |
![]() |
||||||||||||||||||||||||||||||||||||||||||||||||||||||||||||||||||||||||||||||
| Les cellules mères des microspores, d'assez grande taille, possèdent un noyau volumineux. Elles communiquent entre-elles par des connections cytoplasmiques qui perdent leur fonctionnalité à la fin de la prophase I. Ainsi toutes celles qui se trouvent dans un sac pollinique évoluent de façon synchrone pendant toute la durée de la longue prophase I. Ensuite, le développement est plus indépendant. On n'observe pas ici de dépôt de callose entre ou autour des microsporocytes. | |||||||||||||||||||||||||||||||||||||||||||||||||||||||||||||||||||||||||||||||
![]() |
![]() |
![]() |
![]() |
||||||||||||||||||||||||||||||||||||||||||||||||||||||||||||||||||||||||||||
|
2n = 56 chromosomes en voie d'individualisation.
Ils sont fins et longs |
Chromosomes plus condensés.
Appariement en cours |
Chromosomes courts et épais (condensés)
Les chromosomes homologues sont appariés (bivalents). |
Etalement
28 bivalents juste avant leur migration en plaque équatoriale |
||||||||||||||||||||||||||||||||||||||||||||||||||||||||||||||||||||||||||||
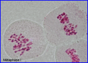
| - Métaphase I | |||||||||||||||||||||||||||||||||||||||||||||||||||||||||||||||||||||||||||||||
![]() |
![]() |
![]() |
|||||||||||||||||||||||||||||||||||||||||||||||||||||||||||||||||||||||||||||
| Bivalents en plaque équatoriale |
Bivalents en plaque équatoriale
|
Bivalents en plaque équatoriale
|
|||||||||||||||||||||||||||||||||||||||||||||||||||||||||||||||||||||||||||||
| - Anaphase I | |||||||||||||||||||||||||||||||||||||||||||||||||||||||||||||||||||||||||||||||
![]() |
![]() |
![]() |
|||||||||||||||||||||||||||||||||||||||||||||||||||||||||||||||||||||||||||||
|
Début de l'ascension polaire
Séparation des chromosomes homologues encore très condensés. Au sein de chaque paire, l'un migre vers un pôle et l'autre vers le pôle opposé. |
Ascension polaire presque terminée
Séparation de 2 lots haploïdes de n =28 chr. à 2 chromatides chacun. 1 et 1' = chr. homologues 2 et 2' = autres chr. homologues |
Ascension polaire terminée. |
|||||||||||||||||||||||||||||||||||||||||||||||||||||||||||||||||||||||||||||
| - Télophase I | |||||||||||||||||||||||||||||||||||||||||||||||||||||||||||||||||||||||||||||||
![]() |
![]() |
||||||||||||||||||||||||||||||||||||||||||||||||||||||||||||||||||||||||||||||
|
Tassement plus marqué des chromosomes
regroupés dans chaque lot haploïde Cytocinèse en cours Edification de la nouvelle cloison. |
1ère division de méiose achevée
Noyaux reconstitués 2 cellules filles à n chr.à 2 chromatides chacun, décondensés (état chromatine) |
||||||||||||||||||||||||||||||||||||||||||||||||||||||||||||||||||||||||||||||
| 2èmedivision de méiose Après une courte intercinèse (sans réplication d'ADN), chaque cellule est le siège d'une division bien plus rapide que la précédente. |
|||||||||||||||||||||||||||||||||||||||||||||||||||||||||||||||||||||||||||||||
![]() |
![]() |
||||||||||||||||||||||||||||||||||||||||||||||||||||||||||||||||||||||||||||||
| Dans chaque cellule, n chr. à 2 chromatides (fissurés) s'individualisent (condensation). | Les chromosomes sont en plaque équatoriale. Souvent quand l'une est visible de profil, l'autre est disposée de trois quart ou de face (vue polaire). Chaque plaque comprend n chr. à 2 chromatides. | ||||||||||||||||||||||||||||||||||||||||||||||||||||||||||||||||||||||||||||||
|
Les préparations n'ont permis d'observer ni l'anaphase II ni la télophase II. Résultat de la méiose |
|||||||||||||||||||||||||||||||||||||||||||||||||||||||||||||||||||||||||||||||
![]() |
|||||||||||||||||||||||||||||||||||||||||||||||||||||||||||||||||||||||||||||||
| A voir : Origine du pollen de colza | |||||||||||||||||||||||||||||||||||||||||||||||||||||||||||||||||||||||||||||||