Méiose dans le testicule de Locusta migratoria

Exploration des préparations

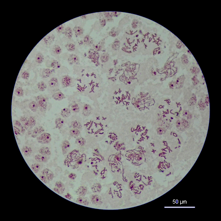
Dans les préparations, les cellules de la lignée germinale d'un cyste restent en général à proximité les unes des autres et elles sont le plus souvent au même stade. Il est possible de retrouver, plus ou moins mélangées, des cellules provenant de cystes, à l'origine, assez éloignés dans le follicule.
Il faut dans un premier temps, parcourir la préparation à un faible grossissement, à la recherche des figures de division.
Ce sont les images de prophase I (longue) qui sont les plus nombreuses et les plus faciles à repérer.
Il est également possible, à partir de certaines figures de méiose d'établir un caryotype.

Pour explorer une autre préparation, survolez l'image avec la souris.
Pour explorer une autre partie de la préparation, survolez l'image avec la souris.